801-263-2633
Call Us
Map Us
Email Us
Toggle navigation
Menu
Home
About Us
Meet the Doctor
Office Tour
Services
Dental Crowns
Root Canals
Dental Veneers
Dental Bridges
Cosmetic Dentistry
Teeth Whitening
Dental Implants
General Dentistry
Tooth Colored Fillings
Dental Bonding
Restorative Dentistry
Dentures
Sleep Apnea
Showcase
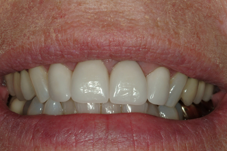
Smile Gallery
Testimonials
Dental Plan
Patient Info
Patient Forms
Choice Care Membership Plan
HIPAA Patient Privacy Practices
Contact
Search for:
Go
Smile Gallery
NagiosCheckValue - Do not remove please